PyroMark Q96 ID
应用焦磷酸测序技术定量分析遗传学或表观遗传学DNA修饰
应用焦磷酸测序技术定量分析遗传学或表观遗传学DNA修饰
PyroMark Q96 ID是一个强有力的测序和定量平台,非常适合表观遗传学、突变基因表达分析,以及微生物鉴定和抗性分型。96孔模式、自动化碱基读取功能以及专用的软件用于甲基化分析和实验设计,PyroMark Q96 ID能够解决任何需要真实序列信息以及需要定量的遗传和表观遗传变异的研究问题。
将检测和定量基因突变整合入一个强有力的体系,使用焦磷酸测序技术,相较于其他基于测序的方案在分析靶向短链DNA序列时,PyroMark平台表现更卓越。在表观遗传学研究中分析甲基化状态,焦磷酸测序技术可高重复性的定量甲基化频率,包括单个或连续的CpG位点(参见" Analysis of multiple contiguous CpG sites"),并可检测和定量甲基化水平的微小变化(参见" Linearity of methylation quantification")。
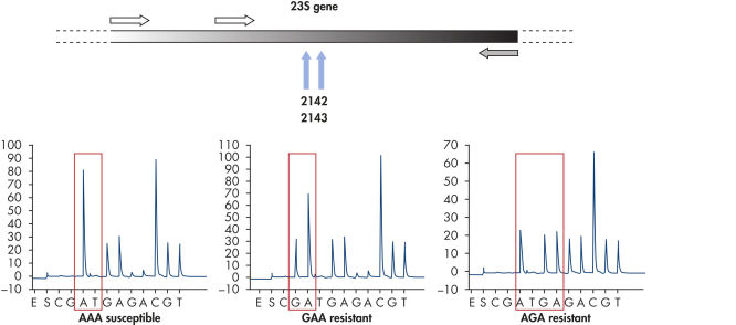
对于遗传检测应用,焦磷酸测序技术可准确定量等位基因的可变位点,且很容易解决杂合性问题(参见" Analysis of a tri-allelic SNP")。 对于微生物鉴定和抗性分型,焦磷酸测序技术能够同时分析多个样本的常见的药物抗性突变的(参见" Analysis of antibacterial resistance in Helicobacter pylori")。
焦磷酸测序技术基于边合成边测序的原理,数分钟内可获得定量数据。PyroMark Q96 ID是提供实时序列信息的完整体系,高度适用于检测遗传变异、遗传定量和短链DNA测序。以下的产品可配合PyroMark Q96 ID仪器使用:PyroMark Q96 Vacuum Workstation、PyroMark CpG SW、PyroMark Assay Design SW、PyroMark IdentiFire SW、PyroMark Gold Q96 Reagents和PyroMark Control Oligo。同时提供样本制备方案,可使用PyroMark Q96 Vacuum Workstation制备单链DNA。
步骤1:扩增DNA片段,作为焦磷酸测序模板的单链是生物素标记的。变性后,分离生物素标记的单链PCR扩增子,与测序引物杂交。杂交的引物和单链模板同各种酶一起孵育,包括DNA聚合酶、ATP硫酸化酶、荧光素酶、三磷酸腺苷双磷酸酶以及底物腺苷酰硫酸(APS)和荧光素(参见" Principle of Pyrosequencing — step 1")。
步骤2:第一个脱氧核苷三磷酸(dNTP)加入反应中,在DNA聚合酶的作用下,dNTP结合到DNA链上与其互补的碱基位。每次结合都会释放与核苷酸相等摩尔量的焦磷酸(PPi)(参见" Principle of Pyrosequencing — step 2")。
步骤3:在有APS的条件下,ATP硫酸化酶将PPi转化为ATP。在这个ATP的驱动下,荧光素酶将荧光素转化为氧化荧光素,并产生可见光,可见光的量与ATP的量成正比。通过电荷耦合(CCD)相机即可检测到荧光素酶催化反应产生的可见光,并在原始数据输出(Pyrogram)中显示为一个峰,每个峰的高度(光信号)与结合的核苷酸数量成正比(参见" Principle of Pyrosequencing — step 3")。
步骤4:三磷酸腺苷双磷酸酶,是一种核苷酸降解酶,会降解未结合的核苷酸与ATP。完全降解后,加入另一个核苷酸(参见" Principle of Pyrosequencing — step 4")。
步骤5:持续添加dNTP。α-硫代脱氧腺苷三磷酸(dATPαS)在反应中用于替代天然脱氧腺苷三磷酸(dATP),这是因为DNA聚合酶可高效的应用前者,而不被荧光素酶识别。当该过程连续进行时,就会形成互补的DNA链,可根据Pyrogram追踪的信号峰确定核苷酸序列(参见" Principle of Pyrosequencing — step 5")。
多功能PyroMark Q96 ID与表观遗传和遗传分析流程无缝接合,且与QIAGEN先进的样本制备、亚硫酸氢盐转化和PCR扩增技术兼容。借助于高度可靠的仪器可在序列水平上对SNP、插入和缺失、CpG位点的检测以及生成序列信息。简化的工作流程可更快速地获得结果。
从PCR产物到直接用于测序的单链模板,应用PyroMark Q96 Vacuum Workstation可在15分钟内同时制备96个样本。该工作站操作简单,且手工操作时间少于5分钟。
从PCR产物到直接用于测序的单链模板,应用PyroMark Q96 Vacuum Workstation可在15分钟内同时制备96个样本。该工作站操作简单,且手工操作时间少于5分钟。
在焦磷酸测序之前,形成了一个生物素标记的PCR产物,该产物结合到覆盖链酶亲和素的琼脂糖凝胶珠上。这些胶珠会被真空仪器捕捉并彻底清洗,随后变性,得到适合于焦磷酸测序的单链DNA。该模板DNA放入含测序引物的焦磷酸测序反应板中,随后引物退火,再将该板放入PyroMark仪器中即可。PyroMark Gold试剂包含用于焦磷酸测序反应的酶、核苷酸和底物,将这些试剂移入分配卡夹,按照软件中提供的体积试被加入仪器中,用于焦磷酸测序。
焦磷酸测序技术对各个领域的研究应用至关重要。PyroMark Q96 ID能够灵敏的分析遗传学和表观遗传学的变化,如检测病原体中药物抗性的发展,基因表达调控中表观遗传学DNA甲基化的作用、牲畜的特异表型的遗传标记,以及法医检材样本中线粒体DNA的多态性。此外,由于焦磷酸测序技术整合了序列检测和定量,提高了分析灵敏度,有助于发现新的信息。
PyroMark Q96软件能够全面分析您的结果。最近更新的软件包含四个分析程序:AQ(等位基因定量)、SNP(分析SNP和InDel)、CpG(甲基化分析)和SQA(序列鉴定)。这四个不同类型的程序可在同一块板上同时分析样本。
PyroMark Assay Design Software 2.0实现轻松的PCR和测序引物的设计。这些产品是经过优化的,可用于所有的PyroMark仪器。

| Features | Specifications |
|---|---|
| Overvoltage category | II |
| Weight | 52 kg (114.6 lb) |
| Kits designed for this instrument | PyroMark Q96 Tests |
| Applications | Methylation analysis, allele quantification (SNP, InDels), sequence analysis |
| Instrument dimensions | 490 x 540 x 620 mm (19.3 x 20.5 x 24.4 in) |
| Operating temperature | 18–28°C (64–82°F) |
| Place of operation | For indoor use only |
| Pollution level | 2 |
| Power | 100–120 V AC, 220–240 V AC; 56–60 Hz |
| Process temperature | 28°C (82.4°F) ± 1% |
| Process time | 10 to 100 minutes for up to 96 samples in parallel |
| Samples per run (throughput) | 1–96 |
| Software | PyroMark Q96 Software (included), PyroMark CpG SW 1.0 (supplementary), PyroMark IndentiFire SW 1.0 (supplementary), PyroMark Assay Design SW 2.0 (supplementary) |
| Technology | Pyrosequencing |
| Altitude | Up to 2000 m (6500 ft) |