EZ1 DNA Cards

For easy setup of protocols using EZ1 DNA Blood Kits and the EZ1 DNA Tissue Kit on the BioRobot EZ1

S_1084_5_GEN_V2

✓ 24/7 automatic processing of online orders

✓ Knowledgeable and professional Product & Technical Support

✓ Fast and reliable (re)-ordering

EZ1 DNA Blood Card

Cat no. / ID.   9015585

Pre-programmed card for BioRobot EZ1 DNA Blood 200 µl and 350 µl Protocols
€1,051.00
Log in To see your account pricing.
Sample type
Blood
Buccal Swab
Buffy Coat
Paraffin Section
Bacteria
EZ1 Cards are used in combination with EZ1 Kits on the BioRobot EZ1. Please refer to the specific EZ1 Kit handbook and the BioRobot EZ1 User Manual for information about product use.

✓ 24/7 automatic processing of online orders

✓ Knowledgeable and professional Product & Technical Support

✓ Fast and reliable (re)-ordering

Features

  • Easy protocol setup with credit-card ease of use
  • Standardized processing ensures reproducible results
  • Optimized protocols help to ensure reliable purification
  • Automated purification of genomic DNA

Product Details

EZ1 DNA Cards are preprogrammed with protocols for purification of DNA from blood and blood-derived samples, dried blood, tissues, buffy coat, paraffin-embedded tissues, buccal swabs, human samples, swabs, biopsies and bacterial cultures.

Performance

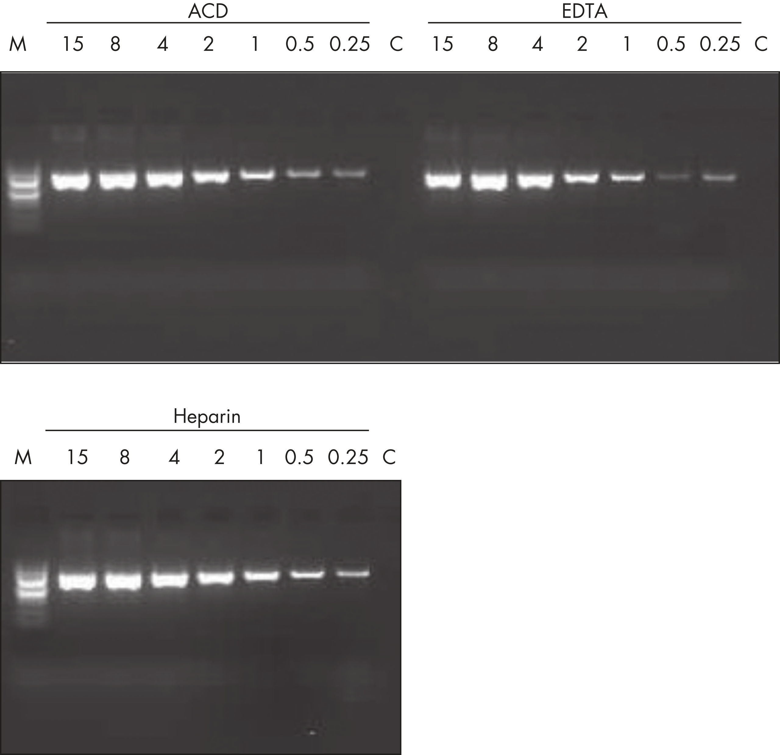
The yield and quality of the purified DNA are suited for use in many applications (see figures  "Representative yields of high-purity DNA from buffy coat samples",  "Consistent PCR results",  "Reproducible performance in sensitive PCR analysis" and  "Sensitive PCR using DNA purified from preserved blood", and also table "DNA yields obtained from bacterial suspension cultures").

DNA yields obtained from bacterial suspension cultures

Sample type Gram Optical density
(OD) value
Starting volume DNA yield (µg)
Escherichia coli 0.7 200 µl 6.6 ± 0.4
Pseudomonas spp. 0.7 200 µl 9.0 ± 0.5
Bacillus subtilis + 0.4 1000 µl* 5.7 ± 0.2
Staphylococcus spp. + 0.2 1000 µl* 5.7 ± 0.2

Principle

EZ1 Cards specify a choice of purification protocols without any manual data entry. Additional EZ1 Cards may be purchased at any time to increase the application range of the BioRobot EZ1.

Procedure

Simply insert the EZ1 Card with the desired protocol into the EZ1 Card slot and start the instrument.

Applications

The high-quality DNA obtained using the BioRobot EZ1 and EZ1 DNA Cards with EZ1 DNA Blood Kits and the EZ1 DNA Tissue Kit is suitable for use in a wide range of applications, such as:

  • Genotyping analysis, including STR, SNP, VNTR, RAPD, NASBA and AFLP technologies
  • Population genetics and pharmacogenomic studies
  • Oncology and infectious disease research
  • Purification of DNA from archived samples
  • PCR and real-time RT-PCR
  • Molecular testing research
  • Sequencing
  • Bacterial detection research
  • Epidemiology and infection control
  • Quantification and resistance profiling by PCR
  • Forensic research

Features Specifications
Applications PCR, real-time RT-PCR, genotyping
For automated processing BioRobot EZ1
Processing Automated

Supporting data and figures

Resources

Kit Handbooks (2)
EZ1&2 DNA Tissue Handbook
LITERATURE (672.7KB)
Download
EZ1&2 DNA Tissue Kit
For automated purification of DNA from tissue and other samples using EZ1 instruments
EZ1&2 DNA Blood Handbook
LITERATURE (568.2KB)
Download
EZ1&2 DNA Blood 200 μl Kit
EZ1&2 DNA Blood 350 μl Kit
For automated purification of DNA from blood and buffy coat using EZ1 instruments
Safety Data Sheets (1)
Download Safety Data Sheets for QIAGEN product components.
Certificates of Analysis (1)

FAQ

Do you have a protocol for the isolation of genomic DNA from whole blood for use in MRC-Holland MLPA® assays?
How do I safely inactivate biohazardous flow-through material?

Always dispose of potentially biohazardous solutions according to your institution’s waste-disposal guidelines. Although the lysis and binding buffers in QIAamp, DNeasy, and RNeasy kits contain chaotropic agents that can inactivate some biohazardous material, local regulations dictate the proper way to dispose of biohazards. DO NOT add bleach or acidic solutions directly to the sample-preparation waste. Guanidine hydrochloride in the sample-preparation waste can form highly reactive compounds when combined with bleach.
Please access our Material Safety Data Sheets (MSDS) online for detailed information on the reagents for each respective kit.

FAQ-12
Is training of lab personnel included with the purchase of a BioRobot EZ1?

Operation of the BioRobot EZ1 is so easy that no additional training other than the initial demo is needed. Operating the instrument requires only three major steps:

  • Insert the appropriate EZ1 Protocol Card, switch on the workstation, and, if necessary, select the appropriate protocol
  • Follow the instructions on the liquid-crystal display (LCD), which describes where the sample tubes, elution tubes, filter tips, and EZ1 Reagent Cartridges must be loaded and which indicates when to start the protocol run
  • Collect purified nucleic acids when the protocol run ends

 

FAQ-1239
Do the foils sealing the EZ1 Reagent Cartridges have to be manually removed prior to loading the robot?

No, prefilled Reagent Cartridges can be loaded onto the BioRobot EZ1 with their seals. During operation of the instrument, the piercing unit, a row of 6 metal spikes located behind the tip adapters, will puncture the foil of the cartridges, thereby exposing the reagents.

 

FAQ-1240
How can we get our BioRobot EZ1 upgraded when new protocols are launched?

Protocols for nucleic acid purification are supplied on pre-programmed EZ1 Protocol Cards. These protocols provide both on-screen instructions for the operator and operating commands for the workstation. The range of kits and protocols for the EZ1 is continuously expanding to allow nucleic acid purification from a wide range of sample types. Please browse our Supplementary Protocol Section to find specialized EZ1 protocols for a large variety of clinical sample types, in addition to the standard sample types covered in our EZ1 handbooks.

 

FAQ-1241
Where can I find information about the worktable setup on the BioRobot EZ1?

Loading of sample tubes, elution tubes, filter-tips, and Reagent Cartridges onto the worktable of the BioRobot EZ1 is intuitive, easy and quick. Details about worktable setup are provided with each new protocol, and are also displayed in the liquid-crystal display (LCD) of the control panel when you start setup of the worktable.

 

FAQ-1243
What disposables are required for nucleic acid isolations on the BioRobot EZ1?

No extra accessories need to be purchased for the BioRobot EZ1, as sample and elution tubes, as well as tips and tip holders are included with each EZ1 DNA or RNA isolation kit.

 

FAQ-1246
How should I prepare buffy coat samples for use on the BioRobot EZ1?

Making consistent buffy samples takes practice. Serum and erythrocytes are easily isolated alongside the 10x concentrated leukocyte fraction. Our Supplementary Protocol 'Isolation of genomic DNA from buffy coat using the EZ1 DNA Blood 350 µl Kit' (MA02) contains instructions and recommendations for preparation of buffy coat for DNA isolation on the BioRobot EZ1.

FAQ-1249
Do you have a protocol for the isolation of DNA from buccal cells using the BioRobot EZ1?

Yes, please check the EZ1 DNA Tissue Handbook for instructions on pretreatment and extraction protocol.

 

FAQ-1260
Do you have a protocol for the isolation of DNA from cultured cells using the BioRobot EZ1?

Yes, please follow the Supplementary Protocol 'Isolation of DNA from cultured cells using the EZ1 DNA Tissue Kit' (MA15).

FAQ-990
Do you have a protocol for the isolation of DNA from fungi using the BioRobot EZ1?
Yes, please follow the Supplementary Protocol 'Purification of DNA from fungi using the EZ1 DNA Tissue Kit' (MA35).
FAQ-992